Waspadai Gejala Fisik Tak Biasa Ini Wajah membengkak tanpa sebab, nyeri di bahu yang tak…
Kesehatan
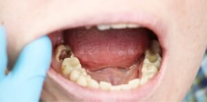
Tanda Bahaya Gigi Butuh Perawatan Akar
Gigi berlubang sering kali dianggap masalah sepele yang bisa ditunda penanganannya. Padahal, jika tidak segera…
Waspadai Hipertensi Resisten dan Faktor Risikonya
Hipertensi resisten adalah salah satu bentuk tekanan darah tinggi yang sulit dikendalikan meskipun pasien sudah…
Waspadai Heat Stroke dan MERS Sejak Sekarang
Kondisi lingkungan yang terus berubah, ditambah cuaca panas ekstrem di berbagai wilayah, meningkatkan risiko kesehatan…
Ciri-Ciri Tubuh dengan Sirkulasi Darah yang Optimal
Sirkulasi darah memegang peran penting dalam mendistribusikan oksigen, nutrisi, dan hormon ke seluruh tubuh. Ketika…
Bolehkah Mengonsumsi Daun Pepaya Setiap Hari? Ini Penjelasannya
Daun pepaya sering dipandang sebagai bahan alami yang memiliki berbagai manfaat kesehatan. Banyak orang yang…
Kebiasaan Sehari-hari yang Membantu Melancarkan Peredaran Darah
Pentingnya Sirkulasi Darah dalam Menunjang Kesehatan Tubuh Sirkulasi darah yang sehat berperan penting dalam menjaga…
Bahaya Kolesterol Tinggi dan Cara Menghindarinya
Kenapa Kolesterol Tinggi Bisa Menjadi Ancaman bagi Kesehatan? Kolesterol adalah zat yang dibutuhkan tubuh untuk…
Cara Aman Menikmati Makanan Lebaran Tanpa Abaikan Gizi
Tips Dokter untuk Tetap Sehat di Hari Raya walknesia.id – Perayaan Lebaran sering kali menjadi…
No More Posts Available.
No more pages to load.
