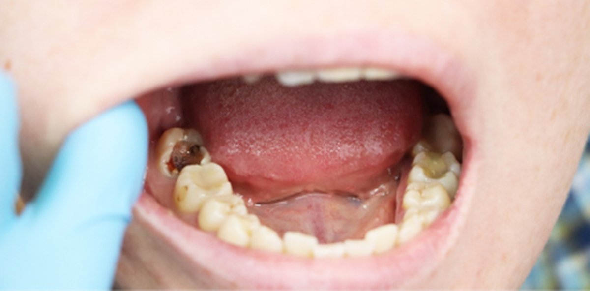
Gigi berlubang sering kali dianggap masalah sepele yang bisa ditunda penanganannya. Padahal, jika tidak segera dirawat, lubang gigi bisa memburuk dan menyebabkan infeksi yang menjalar ke akar gigi. Salah satu prosedur yang dilakukan untuk menangani kasus ini adalah perawatan saluran akar gigi atau yang dikenal dengan istilah root canal treatment. Prosedur ini menjadi penyelamat terakhir agar gigi tidak perlu dicabut.
Apa Itu Perawatan Saluran Akar Gigi?
Perawatan saluran akar adalah prosedur medis gigi yang dilakukan ketika bagian dalam gigi, yaitu pulpa, mengalami infeksi atau kerusakan parah. Pulpa adalah jaringan lunak yang berisi saraf dan pembuluh darah. Saat pulpa terinfeksi, bisa timbul nyeri hebat, sensitivitas berlebih, dan bahkan abses.
Selama prosedur ini, dokter gigi akan membersihkan saluran akar dari jaringan yang terinfeksi, mensterilkannya, lalu menutup kembali saluran dengan bahan khusus agar tidak terjadi infeksi ulang.
Tanda-Tanda Anda Membutuhkan Perawatan Ini
Tidak semua gigi berlubang langsung membutuhkan perawatan akar. Namun, ada beberapa gejala yang bisa menjadi pertanda bahwa infeksi sudah menyebar ke bagian dalam gigi:
- Rasa nyeri tajam dan terus menerus – Nyeri hebat saat mengunyah atau tanpa sebab jelas adalah indikasi infeksi dalam pulpa.
- Gigi sangat sensitif – Gigi yang terasa ngilu berkepanjangan saat terkena suhu panas atau dingin bisa menjadi tanda kerusakan saraf.
- Perubahan warna gigi – Gigi yang berubah menjadi lebih gelap dapat menunjukkan kematian jaringan pulpa.
- Gusi bengkak atau bernanah – Ini adalah indikasi adanya abses di sekitar akar gigi.
- Lubang besar yang dalam – Jika lubang pada gigi sudah mencapai dentin dan pulpa, kemungkinan besar perlu dilakukan perawatan akar.
Mengapa Perawatan Akar Penting?
Tujuan utama dari prosedur ini adalah menyelamatkan gigi agar tidak harus dicabut. Kehilangan gigi dapat menyebabkan gangguan fungsi kunyah, perubahan struktur wajah, dan kebutuhan untuk pemasangan gigi palsu atau implan. Dengan perawatan akar, pasien bisa tetap mempertahankan gigi aslinya.
Selain itu, mengabaikan infeksi pada akar gigi bisa memicu penyebaran bakteri ke bagian tubuh lain melalui aliran darah, yang tentu berbahaya bagi kesehatan sistemik.
Proses dan Waktu Pemulihan
Perawatan saluran akar biasanya dilakukan dalam satu hingga tiga kali kunjungan, tergantung tingkat keparahan infeksi. Prosedurnya dilakukan dengan pembiusan lokal sehingga pasien tidak merasakan sakit. Setelah perawatan, mungkin ada rasa nyeri ringan yang dapat diatasi dengan obat antinyeri yang diresepkan dokter.
Setelah gigi ditambal permanen, sering kali dokter akan menyarankan pemasangan mahkota gigi untuk memperkuat struktur gigi yang sudah rapuh akibat infeksi.
Kesimpulan
Gigi yang sudah berlubang parah bukan hanya menyebabkan ketidaknyamanan, tapi juga bisa berdampak serius terhadap kesehatan gigi dan tubuh secara umum. Perawatan saluran akar gigi menjadi solusi terbaik untuk menyelamatkan gigi yang terinfeksi agar tetap bisa berfungsi normal. Jika Anda mengalami gejala-gejala seperti nyeri hebat, pembengkakan gusi, atau sensitivitas tinggi, segeralah berkonsultasi ke dokter gigi. Tindakan cepat bisa mencegah komplikasi lebih lanjut dan menyelamatkan gigi Anda dari pencabutan.












